Renishaw plc utilise le microscope stéréo Mantis® de Vision Engineering pour inspecter la qualité, la précision et l’ajustage des armatures dentaires.
Fabricant de solutions de mesure innovantes depuis plus de 33 ans, Renishaw a récemment identifié un besoin de processus précis et perfectionné dans le secteur dentaire pour la fabrication d’armatures de couronnes et de bridges.
Renishaw a donc conçu et développé inciseTM, un système de CAO/FAO dentaire révolutionnaire axé sur la précision à chaque étape du processus, en commençant par la première empreinte prise par le dentiste.
Procédures de contrôle numériques avec les microscopes stéréo Mantis
Dans le cadre de ses propres procédures de contrôle numériques, Renishaw utilise la gamme de microscopes stéréo Mantis® de Vision Engineering pour faciliter tous les aspects du processus, de l’évaluation de la qualité des pièces mécaniques à l’inspection visuelle des armatures finies.
La division Dental Products de Renishaw a adopté une approche radicale de la fabrication de restaurations dentaires. Le résultat ? Le procédé incise™ qui fournit une solution innovante pour la fabrication de pièces entièrement céramiques.

Figure 2.
L’industrie dentaire utilisait traditionnellement des métaux pour la fabrication des armatures de couronnes et de bridges. Les couronnes métalliques peuvent parfois causer des réactions entraînant une rétraction gingivale et l’exposition de colliers en métaux peu attrayants propices aux caries et aux tâches.
Le procédé inciseTM de Renishaw a recours à un matériau céramique dur résistant appelé zircone (voir la figure 2). Biocompatible, ce matériau convient parfaitement aux tissus de la bouche et encourage une meilleure hygiène buccale. Ce matériau non métallique présente l’avantage d’un aspect translucide plus naturel.
La précision de l’ajustage marginal possible grâce au procédé inciseTM est synonyme d’une résistance accrue aux caries et aux tâches pour une restauration plus durable. Afin d’optimiser la précision de l’intégralité du processus, Renishaw travaille en étroite collaboration avec des dentistes et des prothésistes dentaires en vue d’améliorer la qualité globale des restaurations finies.
Renishaw fournit des directives pour contribuer à éliminer les erreurs à chaque étape du processus de prise d’empreinte et de moulage pour une précision garantie de la reconstruction finale.
Présentation du processus de restauration dentaire
Tout commence par une consultation du patient au cours de laquelle le dentiste fait une ordonnance pour une reconstruction afin de rétablir le fonctionnement idéal de la mâchoire ou d’améliorer l’aspect esthétique. Les dents sont alors préparées et le dentiste prend des empreintes des dents et des tissus qui les entourent à l’aide des techniques et matériaux éprouvés de Renishaw.
Des restaurations temporaires sont fixées dans la bouche du patient afin de protéger les zones préparées et des empreintes sont prises pour être envoyées au laboratoire dentaire, avec toutes les autres informations pertinentes relatives à la situation clinique du patient.
Même à ce stade précoce, il est crucial que les empreintes ne présentent aucun défaut. Des modèles en plâtre de la mâchoire supérieure et inférieure sont réalisés à partir des empreintes et sont ensuite articulés afin de représenter la morsure du patient.
Le modèle choisi est sectionné et les zones préparées sont retirées, ajustées et mesurées à l’aide de l’appareil à balayage inciseTM, qui crée une représentation 3D du modèle en plâtre. L’appareil scanne le modèle à l’aide d’une sonde à balayage de contact pour numériser la forme complexe de la réplique de préparation.
Les données de ce balayage sont ensuite envoyées électroniquement au centre de fraisage de Renishaw dans la région du Gloucestershire, au Royaume-Uni, où l’armature en zircone est fabriquée.
Les armatures incise™ de Renishaw sont remises avec un certificat de conformité qui fournit une analyse de l’ajustage de l’armature par rapport au modèle en plâtre d’origine. L’armature en zircone et le certificat sont renvoyés au laboratoire dentaire pour la finition en porcelaine. La restauration finie est renvoyée au dentiste, accompagnée du certificat.



Le dentiste termine ensuite le processus en retirant la restauration temporaire et en posant la restauration incise™ en vérifiant la couleur et les contacts avec les dents environnantes, ainsi que l’ajustage marginal critique. Lorsque le dentiste et le patient sont satisfaits du résultat, la couronne ou le bridge est cimenté en place de manière permanente.
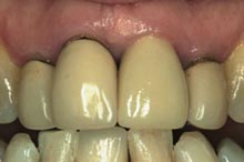
La Figure 3 montre quatre couronnes jaquettes antérieures en porcelaine, dont trois ont été posées il y a 30 ans. Il va sans dire que des couronnes mal ajustées peuvent et ont entraîné un déchaussement des dents, en exposant un liseré gingival de couleur sombre, et des caries.
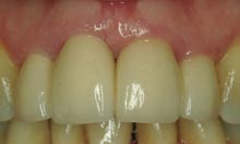
La figure 4 montre le même patient avec des couronnes incise™ posées récemment. Les gencives ont l’air beaucoup plus saines et le résultat esthétique est excellent.
Avant d’être renvoyées au laboratoire, les armatures céramiques sont inspectées à l’aide de la gamme de systèmes stéréo Mantis de Vision Engineering.
Renishaw a investi dans un microscope stéréo Mantis Elite et plusieurs microscopes Mantis Macro. Une fois les pièces usinées, elles font l’objet d’une inspection finale. La lampe à LED blanc de la gamme Mantis fournit l’éclairage idéal pour inspecter l’uniformité des pièces.
Comment Renishaw a obtenu un ajustage céramique zircone parfait
Au tout début du projet, Renishaw utilisait plusieurs méthodes d’inspection, y compris des loupes. Bien que cette méthode fournisse un grossissement adéquat, la réalité de l’inspection avec ce type d’appareil n’était pas idéale, notamment lors d’une utilisation prolongée.
Bryan Austin, directeur et directeur général de la division Dental Products de Renishaw, s’est rendu dans plusieurs laboratoires dentaires au début du projet et a immédiatement remarqué qu’ils utilisaient le microscope stéréo ergonomique Mantis de Vision Engineering. Il explique :
« Vu les heures passées par le personnel de production à regarder dans les oculaires de microscopes ou de loupes, il était logique d’investir dans un équipement offrant un confort et une netteté optimum.
Le microscope Mantis répond à tous les critères de notre processus d’inspection visuelle. Avec le certificat de conformité que nous fournissons à nos clients, il est impératif que nous fabriquions des couronnes et des bridges parfaitement ajustés.
Nous utilisons le microscope Mantis pour inspecter les pièces usinées, un processus qui confirme que notre appareil à balayage incise™ produit des dimensions exactes pour des prothèses précisément adaptées aux dents du patient ».
Bryan explique ensuite en quoi le fait d’avoir un poste d’inspection a changé la mentalité de la personne chargée de l’inspection. « Après avoir conçu le poste d’inspection à l’aide du microscope Mantis, nous avons observé un changement radical de la psyché des personnes chargées de l’inspection lorsqu’elles ont commencé la procédure d’inspection des armatures avec ce système.
Le système à balayage inciseTM est homologué conforme à la norme BS EN ISO10360 partie 4 (une norme internationale relative à la précision des systèmes à balayage de contact) et toutes les restaurations sont fabriquées conformément à un système de qualité BS EN ISO13485.
En introduisant des solutions de mesure innovantes et une technologie éprouvée comme le système incise™ dans l’industrie des appareils médicaux, y compris la technologie dentaire, Renishaw a placé la barre très haut en termes de précision et de qualité.

